了解老年失智,防患于未然 -- 半杯清茶社阿兹海默症讲座

左:罗远博士, 右:邱卫乔医生
2022年10月8日晚,半杯清茶社举办了一场有关老年失智及阿兹海默症的医学健康科普讲座。此讲座筹划日久,半杯清茶社有幸请到两位长期从事阿兹海默症(Alzheimer’s Disease, 简称AD)以及老年疾病基础科学和临床研究的专家,罗远博士和邱卫乔医生。她们详细地为听众讲解了AD的历史,病因,发展阶段,症状,诊断,治疗,预防及护理等等。讲座由半杯的刘嫄博士主持,有近百位听众参加了讲座。
阿兹海默症(AD)是一个病因复杂,潜伏期长,诊断困难,治疗方法少的疾病。罗博士和邱医生从基础到临床,条理清晰深入浅出地向大家详尽地介绍了相关知识,并回答了听众的许多问题。
罗远博士已从事AD等老年疾病研究二十多年。她目前在美国国立卫生研究院(National Institutes of Health,简称NIH)下属的老龄化研究所 (National Institute of Aging,简称NIA)工作,负责对AD等疾病的早期筛查,诊断和预防等技术项目。加入NIA之前她的实验室曾致力于AD的基础科学研究。
邱卫乔医生是MD/PhD双博士。她是美国波士顿大学医学院AD研究中心(ADRC)的神经科和药理学系教授,专注于AD病理和药物开发。她曾领导了多个NIH支持的临床前期研究和临床试验。她在临床上擅长治疗包括AD在内的老年失智,抑郁症,焦虑症及其它精神与神经系统疾病。
此次讲座分为六个部分,两位博士解答了听众关心的六个主要问题:
1. 什么是老年失智症及阿兹海默病(AD)?
2. AD各个发展阶段的症状是什么?
3. 诱发AD的原因是什么?
4. AD的病理特征及诊断标准是什么?
5. AD有治愈方法吗?
6. 怎样预防AD?
其中特别需要一提的有AD的发展过程和分期,主要包括:虽无明显症状但已有病理变化的前期(Preclinical),轻度认知障碍(MCI – Mild Cognitive Impairment),出现短期记忆障碍的早期轻度AD(Early-Stage mild AD),产生严重记忆障碍,精神行为异常,幻觉,自理困难等症状的中期中度AD(Mid-Stage moderate AD),以及失去语言和认知能力,生活完全不能自理的晚期重度AD(Late-Stage severe AD)。罗博士和邱医生还详细讲解并举例说明了各个时期的主要症状,使听众对病程的发展有更为清晰的认识,有助于理解早期诊断,预防和在疾病可逆转阶段积极应对的重要性,以及重视身边亲属可能出现的症状和面临的风险,以便及时就医与护理。
AD的诊断需要有经验的神经科医生进行综合评估,其中包括心理评估,家族史及遗传基因检测,生物标记检测,以及根据病史排除其它因素等。其中生物标记检测有助于早期诊断。脑脊液的生物标记检测虽然灵敏度较高,但却需要脊椎穿刺。PET脑成像的生物检测则仪器稀缺且费用昂贵。血液中生物标记的检测是未来的发展方向之一。它虽不如脑脊液灵敏,但取样安全方便。另一类检测发展方向是最新的数字化跟踪,通过手机APP,运动手环等软件跟踪人们的运动行为模式,交流方式,及一些生物指标等的变化来检测分析疾病发生的可能性及程度,有望更安全简易地提高AD及MCI的诊断率。
了解AD发展阶段和症状以及诊断方法,有助于理解和接受AD的预防理念。中医讲究“治未至之病,防患于未然”。罗博士和邱医生介绍了通过改进生活方式包括饮食,睡眠,体育锻炼,脑力训练等,来增强脑健康,减低AD风险,以及在可逆MCI期干预改善。已有千人以上的大数据科学证据证明,控制血压血脂,地中海式饮食以及体育锻炼都可以减低AD的风险。
除此之外,罗博士和邱医生还详细讲解了在基因,蛋白,细胞,病理水平的AD发病机理,遗传因素,脑血管疾病,糖尿病,炎症,肠道菌失调等疾病的影响,以及后天因素和生活方式的影响。她们还分享探讨了药物及其它治疗手段的进展及挑战,以及帮助和护理AD患者的信息和建议。
最后,罗远博士,邱卫乔医生,以及主持人刘嫄博士都提到临床试验和大脑捐赠,鼓励和呼吁更多的亚裔志愿者参与,为病理研究,药物开发,疾病诊断及预防提供更符合族裔特异性的数据,造福亚裔群体。不少听众询问如何参与。以下是相关信息:
参与AD临床试验:https://www.nia.nih.gov/research/clinical-trials#public; https://www.alzheimers.gov/clinical-trials
大脑捐赠:https://www.nia.nih.gov/health/brain-donation-gift-future-generations
YouTube录像链接

图1. 患有AD的艺术家威廉·乌特莫伦William Utermohlen的自画像。威廉于1995患上AD,2007年逝世。1996-2000年期间他创作了一系列自画像,揭示AD除使记忆和性格改变外,还影响大脑的视觉及空间识别能力。

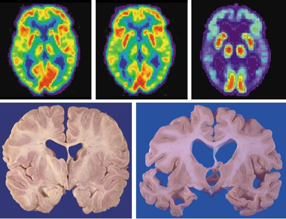
图2. 葡萄糖代谢脑成像(上)和脑切片(下)。左上:20岁的正常人;中上:80岁的正常人;右上:80岁的AD患者;左下:非AD患者;右下:AD患者

图3. 数字化跟踪
(文 璐明)
半杯清茶社微信公众号ID是:banbeiqingchashe,你可以在微信中搜索加关注;也可以扫描下列二维码加关注。以后你会在第一时间自动得到内容更新。

